Терапевтический приём
Мы лечим то, что другие удаляют!
В нашей клинике мы оказываем
все виды лечения зубов:
Устранения любой зубной боли
Пульпит
Эстетическая реставрация
Лечение кариеса
Периодонтит
Восстановление зубов
Чем раньше начато лечение, тем легче и дешевле предотвратить осложнения и проще восстановить уже разрушенный зуб.
При лечении мы используем уникальные передовые технологии и оборудование.
Преимущества лечения зубов
в клинике Идеал
Комфорт и забота - в клинике создана приятная атмосфера, а персонал уделяет внимание не только лечению, но и эмоциональному комфорту пациентов
Безопасность и стерильность - строгий контроль за стерилизацией инструментов и соблюдение всех санитарных норм обеспечивают безопасность пациентов
Гибкие условия оплаты - возможность рассрочки и различные варианты оплаты делают лечение доступным для широкого круга пациентов
Положительные отзывы и репутация - более 8000 благодарных пациентов рекомендуют клинику своим близким
Высококвалифицированные специалисты - врачи с большим опытом работы и постоянным повышением квалификации гарантируют качественное и профессиональное лечение
Расширенные гарантии - при соблюдении правил гигиены и всех рекомендаций врача предоставляются расширенные сроки гарантии
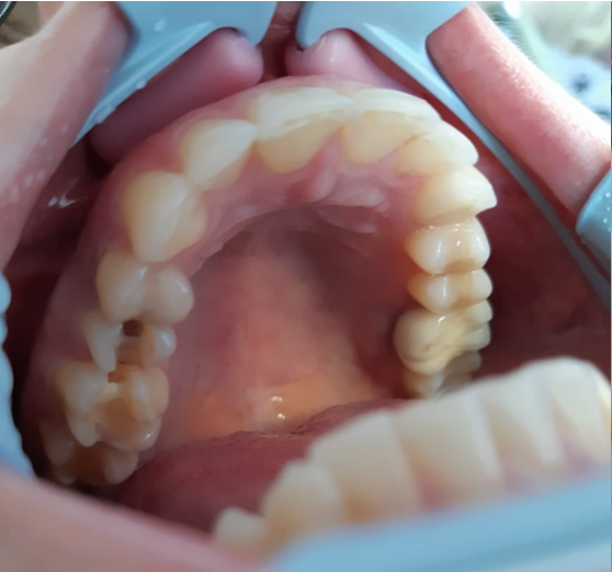
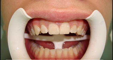
Примеры работ
| 01. Взрослые | ||
| 01. Первичный/повторный прием | ||
| A01.07.001 Сбор анамнеза и жалоб при патологии полости рта | 200 | |
| A01.07.002 Визуальное исследование при патологии полости рта | 300 | |
| A01.07.003 Пальпация органов полости рта | 200 | |
| A01.07.004 Перкуссия при патологии полости рта | 200 | |
| A01.07.005 Внешний осмотр челюстно-лицевой области | 200 | |
| A01.07.006 Пальпация челюстно-лицевой области | 700 | |
| A01.07.007 Определение степени открывания рта и ограничения подвижности нижней челюсти | 200 | |
| B01.064.003 Прием (осмотр, консультация) врача-стоматолога детского первичный | 1 800 | |
| B01.064.004 Прием (осмотр, консультация) врача-стоматолога детского повторный | 1 300 | |
| B01.065.007 Прием (осмотр, консультация) врача-стоматолога первичный | 2 500 | |
| B04.065.006 Повторный прием (осмотр, консультация) врача-стоматолога | 1 500 | |
| 03. Рентгенология | ||
| A06.07.003 Прицельная внутриротовая контактная рентгенография | 700 | |
| A06.07.012 Радиовизиография | 700 | |
| 04. Анестезия | ||
| B01.003.004.002 Проводниковая анестезия | 700 | |
| B01.003.004.004 Аппликационная анестезия | 400 | |
| B01.003.004.005 Инфильтрационная анестезия | 700 | |
| 05. Терапевтическая стоматология | ||
| A02.07.002 Исследование кариозных полостей с использованием стоматологического зонда | 300 | |
| A11.07.012 Глубокое фторирование эмали зуба | 1 100 | |
| A11.07.024 Местное применение реминерализующих препаратов в области зуба | 1 100 | |
| A11.07.022 Аппликация лекарственного препарата на слизистую оболочку полости рта | 1 300 | |
| A11.07.027 Наложение девитализирующей пасты | 3 000 | |
| A16.07.002.001 Восстановление зуба пломбой I, II, III, V, VI класс по Блэку с использованием стоматологических цементов | 6 600 | |
| A16.07.002.002 Восстановление зуба пломбой I, II, III, V, VI класс по Блэку с использованием материалов химического отверждения | 5 800 | |
| A16.07.002.009 Наложение временной пломбы | 1 700 | |
| A16.07.002.010 Восстановление зуба пломбой I, V, VI класс по Блэку с использованием материалов из фотополимеров | 8 300 | |
| A16.07.002.011 Восстановление зуба пломбой с нарушением контактного пункта II, III класс по Блэку с использованием материалов из фотополимеров | 9 000 | |
| A16.07.002.012 Восстановление зуба пломбой IV класс по Блэку с использованием материалов из фотополимеров | 12 900 | |
| A16.07.008.001 Пломбирование корневого канала зуба пастой | 2 200 | |
| A16.07.008.002 Пломбирование корневого канала зуба гуттаперчивыми штифтами | 3 200 | |
| A16.07.008.003 Закрытие перфорации стенки корневого канала зуба | 700 | |
| A16.07.009 Пульпотомия (ампутация коронковой пульпы) | 4 600 | |
| A16.07.010 Экстирпация пульпы | 400 | |
| A16.07.025 Избирательное пришлифовывание твердых тканей зуба | 1 100 | |
| A16.07.025.001 Избирательное полирование зуба | 1 100 | |
| A16.07.030.001 Инструментальная и медикаментозная обработка хорошо проходимого корневого канала | 1 600 | |
| A16.07.030.002 Инструментальная и медикаментозная обработка плохо проходимого корневого канала | 1 800 | |
| A16.07.030.003 Временное пломбирование лекарственным препаратом корневого канала | 1 700 | |
| A16.07.057 Запечатывание фиссуры зуба герметиком | 4 500 | |
| A16.07.082 Сошлифовывание твердых тканей зуба | 500 | |
| A16.07.082.001 Распломбировка корневого канала ранее леченного пастой | 1 600 | |
| A16.07.082.002 Распломбировка корневого канала ранее леченного фосфат-цементом/ резорцин-формальдегидным методом | 2 800 | |
| A16.07.091 Снятие временной пломбы | 300 | |
| A16.07.093 Фиксация внутриканального штифта/вкладки | 1 700 | |
| B01.065.001 Прием (осмотр, консультация) врача-стоматолога-терапевта первичный | 1 800 | |
| B01.065.002 Прием (осмотр, консультация) врача-стоматолога-терапевта повторный | 1 100 | |
| А16.07.002.010 Пломбирование i-con | 4 500 | |
| 06. Пародонтология | ||
| A02.07.003 Исследование зубодесневых карманов с помощью пародонтологического зонда | 100 | |
| A11.07.010 Введение лекарственных препаратов в пародонтальный карман | 500 | |
| A16.07.019 Временное шинирование при заболеваниях пародонта | 2 000 | |
| A16.07.039 Закрытый кюретаж при заболеваниях пародонта в области зуба | 1 100 | |
| A22.07.001 Ультразвуковая обработка пародонтального кармана в области зуба (Вектор) | 1 500 | |
| Удаление Зубного налета | ||
| Удаление зубного налёта с комплексной профессиональной гигиеной полости рта и зубов 1 ст. сложности. | 5 600 | |
| Удаление зубного налёта с комплексной профессиональной гигиеной полости рта и зубов 2 ст. сложности. | 8 000 | |
| Удаление зубного налёта с комплексной профессиональной гигиеной полости рта и зубов 3 ст. сложности. | 10 000 | |
| A22.07.002 Ультразвуковое удаление наддесневых и поддесневых зубных отложений в области зуба (легкой степени) | 300 | |
| A22.07.002.001 Ультразвуковое удаление наддесневых и поддесневых зубных отложений в области зуба (средней степени) | 400 | |
| A22.07.002.002 Ультразвуковое удаление наддесневых и поддесневых зубных отложений в области зуба (тяжелой степени) | 500 | |
| B01.065.005 Первичный прием (осмотр, консультация) гигиениста стоматологического | 1 700 | |
| B01.065.006 Повторный прием (осмотр, консультация) гигиениста стоматологического | 1 100 | |
| 02. Дети | ||
| 01. Гигиена и профилактика | ||
| A12.07.003 Определение индексов гигиены полости рта (детское) | 200 | |
| A14.07.003 Гигиена полости рта и зубов (дети) | 3 600 | |
| A14.07.008 Обучение гигиене полости рта и зубов индивидуальное, подбор средств и предметов гигиены полости рта (Дети) | 300 | |
| A16.07.020 Удаление наддесневых и поддесневых зубных отложений (Дети) | 2 700 | |
| A16.07.051 Профессиональная гигиена полости рта и зубов (Дети) | 5 000 | |
| A22.07.002 Ультразвуковое удаление наддесневых и поддесневых зубных отложений в области зуба (Дети) | 200 | |
| B01.065.005 Прием (осмотр, консультация) гигиениста стоматологического первичный (дети) | 1 300 | |
| B01.065.006 Прием (осмотр, консультация) гигиениста стоматологического повторный (Дети) | 1 100 | |
| 02. Рентгенология | ||
| A06.07.003 Прицельная внутриротовая контактная рентгенография (Дети) | 700 | |
| A06.07.012 Радиовизиография (Дети) | 700 | |
| 03. Анестезия | ||
| B01.003.004.002 Проводниковая анестезия (Дети) | 700 | |
| B01.003.004.005 Инфильтрационная анестезия (Дети) | 700 | |
| 04. Терапевтическая стоматология | ||
| A11.07.012 Глубокое фторирование эмали зуба (Дети) | 900 | |
| A11.07.022 Аппликация лекарственного препарата на слизистую оболочку полости рта (Дети) | 500 | |
| A11.07.024 Местное применение реминерализующих препаратов в области зуба (Дети) | 900 | |
| A11.07.027 Наложение девитализирующей пасты (Дети) | 700 | |
| A16.07.002.002 Восстановление зуба пломбой I, II, III, V, VI класс по Блэку с использованием материалов химического отверждения (Дети) | 3 800 | |
| A16.07.002.009 Наложение временной пломбы (Дети) | 700 | |
| A16.07.002.010 Восстановление зуба пломбой I, V, VI класс по Блэку с использованием материалов из фотополимеров (Дети) | 6 100 | |
| A16.07.002.011 Восстановление зуба пломбой с нарушением контактного пункта II, III класс по Блэку с использованием материалов из фотополимеров (Дети) | 7 100 | |
| A16.07.002.012 Восстановление зуба пломбой IV класс по Блэку с использованием материалов из фотополимеров (Дети) | 7 500 | |
| A16.07.008.001 Пломбирование корневого канала зуба пастой (Дети) | 1 200 | |
| A16.07.009 Пульпотомия (ампутация коронковой пульпы) (Дети) | 700 | |
| A16.07.025 Избирательное пришлифовывание твердых тканей зуба (Дети) | 700 | |
| A16.07.025.001 Избирательное полирование зуба (Дети) | 600 | |
| A16.07.030.001 Инструментальная и медикаментозная обработка хорошо проходимого корневого канала (Дети) | 700 | |
| A16.07.030.002 Инструментальная и медикаментозная обработка плохо проходимого корневого канала (Дети) | 1 200 | |
| A16.07.030.003 Временное пломбирование лекарственным препаратом корневого канала (Дети) | 700 | |
| A16.07.057 Запечатывание фиссуры зуба герметиком (Дети) | 3 800 | |
| A16.07.082 Сошлифовывание твердых тканей зуба (Дети) | 700 | |
| A16.07.082.001 Распломбировка корневого канала ранее леченного пастой (Дети) | 950 | |
| A16.07.082.002 Распломбировка корневого канала ранее леченного фосфат-цементом/резорцин-формальдегидным методом (Дети) | 1 200 | |
| A16.07.091 Снятие временной пломбы (Дети) | 650 | |
| B01.065.001 Прием (осмотр, консультация) врача-стоматолога-терапевта первичный (Дети) | 1 400 | |
| B01.065.002 Прием (осмотр, консультация) врача-стоматолога-терапевта повторный (детское) | 900 | |
| 05. Хирургическая стоматология | ||
| A16.07.001.001 Удаление временного зуба(Дети) | 2 600 | |
| Дополнительные услуги | ||
| Гигиенически пакет инфекционной безопастности | 400 | |
| Препарат для местной анестезии Ультракаин | 400 | |
| Препарат для местной анестезия Ораблок | 400 | |
| 08. Хирургическая стоматология и имплантология | ||
| A16.07.001 Удаление зуба (под имплант) | 8 500 | |
| A16.07.001.002 Удаление простое зуба | 5 900 | |
| A16.07.001.004 Удаление подвижного зуба | 4 500 | |
| A16.07.097 Наложение шва на слизистую оболочку рта | 2 000 | |
| B01.067.001 Прием (осмотр, консультация) врача-стоматолога-хирурга первичный (чтение КТ) | 2 100 | |
| B01.067.002 Прием (осмотр, консультация) врача-стоматолога-хирурга повторный | 1 500 | |
| Имплантация | ||
| 07. Установка формирователя 1-на этапная | 14 000 | |
| Имплант для внутрикостной дентальной имплантации (Корея) | 8 500 | |
| A16.07.055.002 Формирователь десны | 12 000 | |
| 09. Ортопедическая стоматология | ||
| 01. Слепки | ||
| Слепки А Силикон | 3 150 | |
| Индивидуальная ложка | 5 300 | |
| Слепки альгинатные | 1 500 | |
| Слепки С Силикон | 2 500 | |
| 02. Коронки | ||
| Восстановление зуба металлической коронкой | 12 000 | |
| Восстановление зуба металлокерамической коронкой | 20 000 | |
| Восстановление зуба литой коронкой (фрезер) | 12 800 | |
| Восстановление зуба литой коронкой | 12 000 | |
| Восстановление зуба циркониевой коронкой | 34 000 | |
| Временная композитная коронка | 2 500 | |
| Восстановление зуба литой коронкой с напылением | 12 600 | |
| Временная фрезерованная коронка | 10 000 | |
| Восстановление зуба металлокерамической коронкой (фрезер) | 20 500 | |
| 03. Съемные протезы | ||
| Протезирование съемными бюгельными нейлоновыми протезами | 62 000 | |
| Протезирование съемными бюгельными протезами на кламмерах | 52 000 | |
| Изготовление съемного протеза из термопластического материала | 37 000 | |
| Изготовление частичного съемного протеза | 29 000 | |
| Изготовление полного съемного пластинчатого протеза | 31 000 | |
| Изготовление частичного съемного протеза с армирующей дугой | 29 000 | |
| 04. Вкладки | ||
| Простая вкладка | 5 700 | |
| Разборная вкладка | 6 200 | |
| Стекловолоконная вкладка | 5 700 | |
| 05. Фиксация коронок | ||
| Фиксация коронки (постоянная) | 1 800 | |
| Фиксация коронки (временная) | 900 | |
| Фиксация вкладки | 900 | |
| 06. Снятие коронок | ||
| A16.07.053.002 Снятие несъемной ортопедической конструкции из китайской керамики | 3 000 | |
| Снятие несъемной ортопедической конструкции металлической | 1 300 | |
| Снятие несъемной ортопедической конструкции металлокерамической | 2 000 | |
| 07. Протезирование имплантов | ||
| Протезирование циркониевой коронкой на имплантат | 50 000 | |
| Первичный прием (осмотр, консультация) врача-ортопеда | 1 700 | |
| Прием повторный (осмотр, консультация) врача-ортопеда | 1 100 | |
| Исследование сканером | 2 500 | |
| Починка протеза | 5 300 | |
| 12. Лазер | ||
| 01. Обработка лазером E-pic пародонтальных карманов | 3 000 | |
| 02. Удаление капюшона области зуба мудрости лазером E-pic | 2 500 | |
| 03. Удлинение коронки зуба лазером E-pic | 2 000 | |
| 04. Эндодонтическая обработка зуба лазером E-pic | 1 500 | |
| 05. Освобождение импланта под формирователь лазером E-pic | 2 000 | |
| 06. Разрез мягких тканей лазером E-pic | 2 000 | |
| 14. Отбеливание | ||
| Внутриканальное отбеливание | 3 500 | |
| Профессиональное отбеливание зубов (Лазерное) | 30 000 |
Записаться на прием
Мы обязательно свяжемся с вами

